Newsletter DPT Nro. 47
ISSN 2618-236X
Abril 2020
Organización Mundial de la Salud / Gobierno de China: Informe de la misión conjunta sobre la Enfermedad Coronavirus 2019 (COVID-19)
Síntesis del informe de la misión conjunta entre la Organización Mundial de la Salud (OMS) y el gobierno de China, para estudiar el estado de la (entonces) epidemia de COVID-19 y la efectividad de la respuesta de ese país
OPORTUNIDADES DE FORMACION
Primera Universidad de Posgrado sobre Inteligencia Artificial
Ofrece beca completa a candidatos admitidos
NOTICIAS DE INVESTIGACION
Descubren un poderoso tipo de antibiótico
Usando un algoritmo pionero de aprendizaje automático
Imagen: ©torange.biz
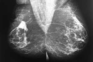
Uso de Inteligencia Artificial para detectar enfermedades
El caso del cáncer de mama
Imagen: SCiardullo
Predicción del deterioro cognitivo y motor en pacientes con enfermedad de Parkinson
Con ayuda de marcadores de senescencia
Medicina personalizada
Medicamentos exclusivos para pacientes únicos
Monitoreo de diabetes
Con base en lágrimas
Vacuna personalizada para prevenir o retrasar la aparición de cáncer de pancreas
Primeros pasos en modelos animales
Imagen: Scientific Animations Inc.
Detección de enfermedades humanas
Con apoyo de perros entrenados
PERSPECTIVAS
COVID-19: Posibles escenarios de futuro
Nota del Editor: El editor no se responsabiliza por los conceptos u opiniones vertidos en las entrevistas, artículos y documentos reseñados en este Newsletter, los cuales son de exclusiva responsabilidad de los respectivos entrevistados, autores o colaboradores.
STAFF DEL NEWSLETTER DPT
Sr. Guillermo Gómez Galizia
Presidente de la Fundación Instituto para el Desarrollo Productivo y Tecnológico Empresarial de la Argentina (DPT)
Lic. José Luis Tesoro
Coordinador Editorial
Integrantes del Comité Editorial
Dr. Amadeo Cellino
Dra. Mariana Iurman
Dr. Javier Vilosio
ISSN 2618-236X

